ByBarunwoori
바른우리 치료사례
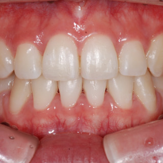
이제는 자신 있고 환한 미소를 지어보세요. 바른우리치과 교정과치과의 사례를 확인하실 수 있습니다.
Total 96건 7 페이지

검색

FAQ
  • 교정 중 충치가 생기거나 발견되면 치료가 가능한가요?
    교정 치료 중에 교정 장치 사이에 음식물이 잘 닦이지 않거나 치아 이동으로 치아 사이의 숨어있던 치간 우식이 발견된 경우에 충치가 생기게 됩니다. 따라서 치아교정 중 충치가 발생했다면 빠른 시일 내에 치료를 받아보시는 것이 중요합니다.
  • 교정할 때 통증이 심한가요?
    치아교정 치료 과정 중 치아의 위치를 바로잡기 위하여 교정장치에 힘이 가하게 되는데 치아를 감싸고 있는 치주 인대에 압력을 가하면서 일시적인 통증이나 시림 등의 증상이 나타날 수 있습니다. 특히 교정 장치 교체 시 초반에 이러한 증상이 많이 나타나지만 시간이 지나감에 따라서 서서히 통증이 줄어듭니다.
  • 나이가 많아도 교정이 가능한가요?
    교정학문의 발달과 치료 방법 등의 진보로 인해 현재는 나이와 상관없이 교정 치료가 가능하며, 잇몸과 잇몸뼈의 건강, 치아 사이의 공간 (블랙트라이앵글), 임플란트 유무 등에 따라 구강환경과 나이에 맞는 적절한 교정이 가능합니다.
  • 발치 꼭 해야 하나요?
    사랑니가 교정 중인 치아의 이동을 방해하거나 치열을 망가뜨릴 위험이 있는 경우에는 발치가 필요할 수 있지만 이러한 경우가 아니라면 발치가 꼭 필요하진 않습니다.
×
간편 로그인 서비스
의료법에 의거 홈페이지의 치료후기 열람은 홈페이지의 회원일 경우에만 열람이 가능합니다.
이에 저희 홈페이지에서는 간단히 로그인 하실 수 있는 임시 로그인번호를 발급해드립니다.